Meyer ImaGine

Redefining Clarity, Empowering Care.

  • The first dental intelligent AI agent
  • Pioneering a new smart diagnostic ecosystem




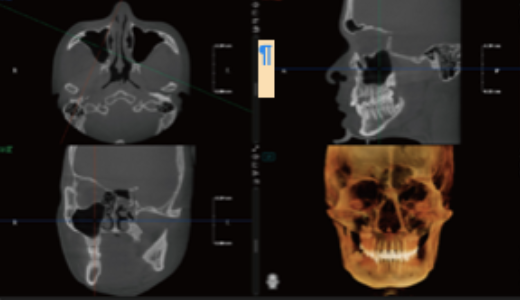
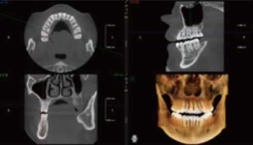
Modo maxilofacial

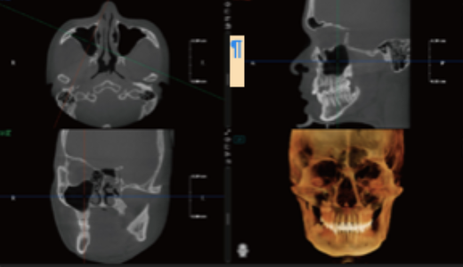
Modo maxilar y dental

Método de dentición

Modo dientes

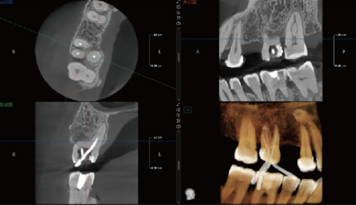
Modo Endo
Feature 1
Aquisição completa do paciente para planeamento de implantes em apenas 7 segundos

Ultra-clear display of the entire dental arch and jawbone structure.

Feature 1
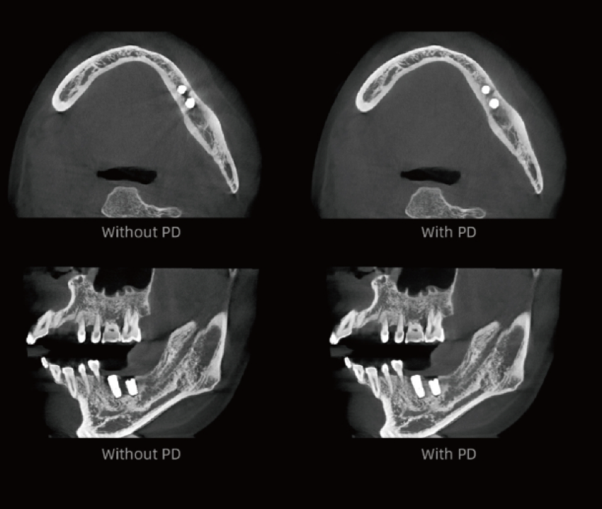
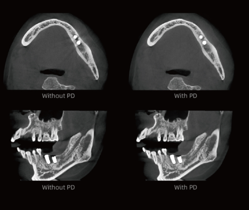
Algoritmo PD – Alta resolução espacial em TC até 2,8 lp/mm

Proporciona imagens com efeito de “textura natural”.
Previne eficazmente que pequenas lesões sejam ocultadas pela redução de ruído, reproduzindo com elevada fidelidade os detalhes do osso e dos tecidos moles.
Fornece aos clínicos informação diagnóstica mais precisa.

Algoritmo PD-MAR de Redução de Artefactos Metálicos

Tecnologia de correcção de artefactos líder na indústria, que elimina eficazmente artefactos persistentes em todos os cenários clínicos.
Restaura com precisão os detalhes estruturais dos tecidos.
Suporta Utilização Imediata e Comparação com Um Clique, melhorando significativamente a eficiência diagnóstica.
Elimina a necessidade de guias radiográficas, permitindo que as imagens processadas sejam utilizadas directamente na fabricação de guias cirúrgicas digitais para implantes.

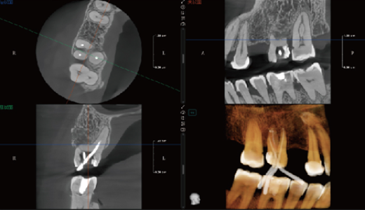
Tecnologia Inovadora Root-Bone Glass

Suporta o posicionamento manual dos dentes, a remoção dentária e a observação tridimensional da câmara pulpar.
Permite o planeamento imediato de extrações e implantes.

Inclui o Módulo Endo Easy*

Análise Dentária 3D Abrangente: segmentação completa do dente com medições automáticas, planeamento do percurso de acesso e avaliação precisa de cáries.
Visualização Endodôntica Avançada: observação 3D de cáries interproximais, defeitos estruturais e morfologia dos canais radiculares, garantindo que nenhum canal passa despercebido.

Segmentação Completa da Estrutura Dentária: realce automático do esmalte, dentina, polpa e estruturas periodontais, permitindo a visualização das alterações morfológicas.
Mapeamento Avançado dos Canais Radiculares: visualização clara dos canais MB2 e em forma de C, apoiando um tratamento endodôntico preciso e minimizando o risco de canais não detetados.
Visualização Especial dos Canais Radiculares

vermite a visualização de morfologias especiais dos canais radiculares (MB2 e canais em forma de C), orientando os procedimentos endodônticos.
Ajuda a evitar a omissão de canais.
Medição Automática do Canal Radicular
Medição do Canal Radicular: precisa, automática e fiável — evita erros manuais e permite o planeamento pré-operatório.
Planeamento Endodôntico Inteligente: mede com precisão o comprimento do canal radicular, garantindo um tratamento previsível e eficiente.
Simulação de Acesso ao Canal Radicular
Apresenta dinamicamente as posições dos orifícios dos canais radiculares, auxiliando a educação do paciente.
Apoia os clínicos no planeamento do tratamento e na definição da estratégia terapêutica.
Sistema Ortodôntico Inteligente
Traçado Automático de Pontos de Referência
disponibiliza 68 pontos de referência e 192 itens de medição.
Suporte a Métodos de Análise Profissional:
auxilia os clínicos na análise quantitativa e na simulação diagnóstica.
Análise Inteligente Local:
funciona offline, sem necessidade de ligação à internet.
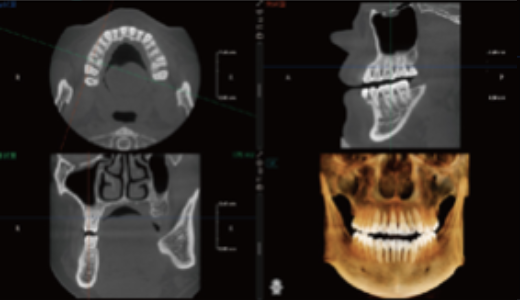
Visualização 3D do Seio Maxilar
Gera automaticamente a estrutura 3D do seio maxilar.
Permite uma observação clara da morfologia do seio e ajuda a avaliar os riscos cirúrgicos em implantes maxilares.
Auxilia na avaliação do volume de enxerto em elevação do seio maxilar
Planeamento Virtual de Implantes
Permite a simulação de procedimentos de implantes (implante + pilar + coroa), ajudando a selecionar o implante mais adequado.
Fornece alertas de proximidade ao canal nervoso, aumentando a segurança cirúrgica.
Facilita a comunicação entre médico e paciente, permitindo ao paciente visualizar claramente o procedimento de implante planeado.
Simulação de Extração Dentária e Óssea – Planeamento de Implante Imediato
Permite a extração do dente comprometido e a sua substituição por um implante adequado na simulação.
Melhora a comunicação entre médico e paciente, permitindo ao paciente visualizar o resultado final do implante antes da extração.