Meyer 3D PRO Series

Uma solução de imagiologia 5-em-1 de alta precisão, concebida para implantologia dentária, ortodontia, dentisteria restauradora, cirurgia oral e maxilofacial e endodontia.
Com uma única aquisição, capta imagens CBCT, panorâmicas e cefalométricas, proporcionando uma visualização tridimensional completa das estruturas orais e maxilofaciais.

Hardware avançado

Os algoritmos avançados integrados com uma tecnologia inovadora de hardware permitem imagens mais realistas e detalhadas, configurando um diagnóstico mais preciso.

AI | Reconstrução imediata de imagens

Com dados em massa autoconstruídos de imagens clínicas, o Meyer CBCT derruba o algoritmo tradicional de reconstrução interativa com a sua tecnologia de reconstrução de imagem AI que melhorou bastante a capacidade e o tempo de computação.

Software MyDent Viewer 3D

Diagnostique e analise com precisão os dados do paciente com ferramentas poderosas. Oferece representação 3D, segmentação, superimposição e simulação de implantes.

Funções de AI em SW

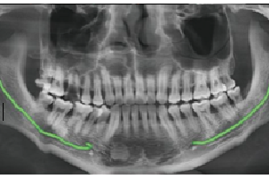
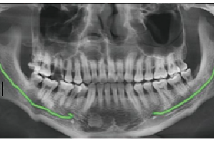
AI + Marcação do tubo nervoso

Menos de 10seg. para marcar automaticamente os tubos dos nervos.

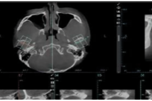
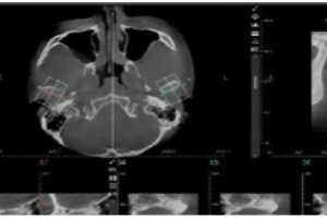
AI + Localização da ATM

Localiza automaticamente a articulação temporomandibular (ATM).

ENDO Mode

70μm de resolução.

Tecnologia PD (Pure Detail)

Através de capacidades adaptativas, ajusta de forma inteligente diversos parâmetros e, com base em extensos resultados de imagiologia, permite que as imagens apresentem um efeito de “textura natural”.

Isto resolve eficazmente o problema da redução de ruído ocultar pequenas lesões, proporcionando uma visualização mais clara e uma reconstrução mais fiel dos detalhes estruturais do osso e dos tecidos moles.